Rehabilitación oral
El tratamiento de rehabilitación oral es un enfoque integral que busca restaurar la función, estética y salud oral de un paciente mediante la coordinación de diferentes disciplinas odontológicas. Este tipo de tratamiento se aplica a pacientes con pérdida parcial o total de sus dientes, problemas en las estructuras orales o necesidades estéticas y funcionales complejas.
Pasos del tratamiento rehabilitador
- Evaluación inicial: Se realiza una evaluación completa de la salud bucal y la condición general del paciente. Esto puede implicar exámenes radiográficos, estudios de modelos dentales y análisis de la oclusión y la función masticatoria.
- Planificación del tratamiento: Se diseña un plan de tratamiento personalizado basado en las necesidades específicas del paciente. Este plan puede incluir la restauración de dientes perdidos mediante implantes dentales, puentes, prótesis removibles o fijas, así como tratamientos adicionales como endodoncia, periodoncia, ortodoncia u otros procedimientos.
- Procedimientos restaurativos: Los procedimientos varían según las necesidades del paciente, pero pueden involucrar la colocación de implantes dentales para reemplazar dientes ausentes, restauraciones protésicas como coronas o puentes para mejorar la función y estética, así como ajustes en la oclusión para garantizar una masticación adecuada.
- Seguimiento y cuidado a largo plazo: Una vez finalizado el tratamiento, se establece un plan de seguimiento para monitorear la salud oral del paciente y mantener la funcionalidad de las restauraciones. Se recomiendan visitas regulares al dentista para revisiones, limpiezas profesionales y ajustes necesarios.
Tratamiento de la maloclusión con filosofía RNO
El tratamiento de las maloclusiones mediante rehabilitación neuro oclusal permite realizar una terapéutica en edades tempranas. De esta forma se pueden prevenir las maloclusiones y evitar que se agraven.
Esta filosofía de trabajo integra las funciones respiratoria, deglutoria, masticatoria y fonatoria en el paciente pediátrico y se basa en la intrínseca relación que existe entre la “forma” y la “función”.
Desde el momento que detectamos una alteración en el equilibrio oclusal buscamos la causa para corregirla, y en caso de que ya se hayan producido alteraciones en la forma, es decir maloclusiones, las tratamos para DEVOLVER LA FUNCION siempre detectando y corrigiendo la etiología del problema.
n etapas tempranas trabajamos mediante tallado selectivo de dientes de leche y mediante el empleo de pistas de composite SIN APARATOLOGÍA.
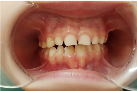
Como una imagen vale más que mil palabras….
En este caso hemos corregido una mordida cruzada equilibrando la mordida, corrigiendo hábitos y colocando pistas de composite. Es una ortopedia temprana basada en la correcta función. Espero que te parezca tan interesante como a mí, que me resulta apasionante.
Dra. Fátima Cerdán Gómez
Nº Colegiado. 28005794
Consúltanos
¡Conecta con nosotros! Estaremos encantados de hablar contigo para resolverte cualquier duda.